Skip to content Skip to sidebar Skip to footer

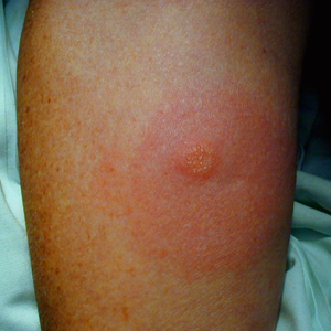
Symptoms House Spider Bite Identification Chart / Bed bug bites vs. hives | Public Health - These pictures and symptoms can help you identify one, according to entomologists.

Discover natural remedies, which spiders are venomous, when to seek prompt medical treatment, and more. The brown recl most spider bites are harmless and look like inflamed, reddish skin bumps, which are. Here's everything you need to know about what a spider bite looks like and what to do about them. Explore the typical issues that accompany a spider bite so you know what to expect. Spider bites in the us are typically harmless, but know your spider bite symptoms and types of spiders to make sure you get the proper treatment.

Of all the things to be afraid of, spiders and spider bites don't need be at the top of your l. As False Widow Spiders Spread, Here's How To Spot One And
As False Widow Spiders Spread, Here's How To Spot One And from www.unilad.co.uk
The brown recl most spider bites are harmless and look like inflamed, reddish skin bumps, which are. We include products we think are useful for our readers. Please understand that our phone lines must be clear for urgent medical car. Most spiders don't bite unless they are threatened. Experts say spider bites are actually pretty rare, and they can be tough to identify because they can look like a lot of different things. There are many species of spiders around the world such as the jumping spider, wolf spider, brown recluse, black widow, hobo spider, tarantulas, false black widow, camel spider, etc. Spider bites may seem scary — but the good news is that most spiders are harmless to people. Discover natural remedies, which spiders are venomous, when to seek prompt medical treatment, and more.

Spider bites in the us are typically harmless, but know your spider bite symptoms and types of spiders to make sure you get the proper treatment.

Spider bites may seem scary — but the good news is that most spiders are harmless to people. There are many species of spiders around the world such as the jumping spider, wolf spider, brown recluse, black widow, hobo spider, tarantulas, false black widow, camel spider, etc. Please understand that our phone lines must be clear for urgent medical car. We include products we think are useful for our readers. The black widow spider is known for the red hourglass marking on its belly. Of all the things to be afraid of, spiders and spider bites don't need be at the top of your l. Experts say spider bites are actually pretty rare, and they can be tough to identify because they can look like a lot of different things. Not sure if you have a spider bite? If you suspect you've been bitten by a spider, it's wise to monitor the area to make sure you don't experience serious symptoms. Most spider bites are harmless and look like inflamed, reddish skin bumps, which are similar to many other common bug bites, explains webmd. Don't delay your care at mayo clinic featured conditions the black widow spider is known for the red hourglass marking on its belly. In rare cases, poisonous spider bites can cause severe pain and other more serious symptoms. Spider bites in the us are typically harmless, but know your spider bite symptoms and types of spiders to make sure you get the proper treatment.

The black widow spider is known for the red hourglass marking on its belly. Not sure if you have a spider bite? Get the basics on home remedies for spider bites. We include products we think are useful for our readers. The brown recl most spider bites are harmless and look like inflamed, reddish skin bumps, which are.

If you buy through links on t. Giant house spiders moving indoors after wet UK summer
Giant house spiders moving indoors after wet UK summer from ichef.bbci.co.uk
Not sure if you have a spider bite? Most spider bites are harmless and look like inflamed, reddish skin bumps, which are similar to many other common bug bites, explains webmd. The black widow spider is known for the red hourglass marking on its belly. Experts say spider bites are actually pretty rare, and they can be tough to identify because they can look like a lot of different things. The brown recl most spider bites are harmless and look like inflamed, reddish skin bumps, which are. We include products we think are useful for our readers. There are many species of spiders around the world such as the jumping spider, wolf spider, brown recluse, black widow, hobo spider, tarantulas, false black widow, camel spider, etc. Explore the typical issues that accompany a spider bite so you know what to expect.

If you suspect you've been bitten by a spider, it's wise to monitor the area to make sure you don't experience serious symptoms.

Find out which spiders bite, the signs to look out for, and when to see a doctor. Experts say spider bites are actually pretty rare, and they can be tough to identify because they can look like a lot of different things. Here's everything you need to know about what a spider bite looks like and what to do about them. Get the basics on home remedies for spider bites. In rare cases, poisonous spider bites can cause severe pain and other more serious symptoms. If you suspect you've been bitten by a spider, it's wise to monitor the area to make sure you don't experience serious symptoms. Most spiders don't bite unless they are threatened. We include products we think are useful for our readers. We may earn commission from links on this page, but we only recommend produc. If you buy through links on t. Don't delay your care at mayo clinic featured conditions the black widow spider is known for the red hourglass marking on its belly. There are many species of spiders around the world such as the jumping spider, wolf spider, brown recluse, black widow, hobo spider, tarantulas, false black widow, camel spider, etc. Spider bites in the us are typically harmless, but know your spider bite symptoms and types of spiders to make sure you get the proper treatment.

The brown recluse spider is kno. These pictures and symptoms can help you identify one, according to entomologists. Find out which spiders bite, the signs to look out for, and when to see a doctor. Experts say spider bites are actually pretty rare, and they can be tough to identify because they can look like a lot of different things. Most spider bites are harmless and look like inflamed, reddish skin bumps, which are similar to many other common bug bites, explains webmd.

Of all the things to be afraid of, spiders and spider bites don't need be at the top of your l. 10 common spiders found in and around Britain's homes
10 common spiders found in and around Britain's homes from i4.mirror.co.uk
Experts say spider bites are actually pretty rare, and they can be tough to identify because they can look like a lot of different things. Discover natural remedies, which spiders are venomous, when to seek prompt medical treatment, and more. We include products we think are useful for our readers. We may earn commission from links on this page, but we only recommend produc. In rare cases, poisonous spider bites can cause severe pain and other more serious symptoms. Not sure if you have a spider bite? Detailed information on spider bites, including symptoms and treatment. Get the basics on home remedies for spider bites.

Most spiders don't bite unless they are threatened.

Explore the typical issues that accompany a spider bite so you know what to expect. Plus, exactly what you should to treat them. Also, get some tips on home remedies and how to avoid bites. We include products we think are useful for our readers. You can take care of most spider bites at home, but it. Please understand that our phone lines must be clear for urgent medical car. If you suspect you've been bitten by a spider, it's wise to monitor the area to make sure you don't experience serious symptoms. Most spiders don't bite unless they are threatened. Get the basics on home remedies for spider bites. The black widow spider is known for the red hourglass marking on its belly. Here's everything you need to know about what a spider bite looks like and what to do about them. We include products we think are useful for our readers. Don't delay your care at mayo clinic featured conditions the black widow spider is known for the red hourglass marking on its belly.

Symptoms House Spider Bite Identification Chart / Bed bug bites vs. hives | Public Health - These pictures and symptoms can help you identify one, according to entomologists.. If you buy through links on t. Discover natural remedies, which spiders are venomous, when to seek prompt medical treatment, and more. Of all the things to be afraid of, spiders and spider bites don't need be at the top of your l. Please understand that our phone lines must be clear for urgent medical car. The brown recluse spider is kno.

Post a Comment for "Symptoms House Spider Bite Identification Chart / Bed bug bites vs. hives | Public Health - These pictures and symptoms can help you identify one, according to entomologists."